Edit Content
Click on the Edit Content button to edit/add the content.

Recent News

Hyperemesis Gravidarum: A HerView Ultrasound Guide for Expecting Families in Ireland

Hyperemesis Gravidarum: A HerView Ultrasound Guide for Expecting Families in Ireland

Pregnancy is a remarkable journey but for some women, the early weeks can be overshadowed by Hyperemesis Gravidarum (HG), a severe form of nausea and vomiting that goes far beyond typical “morning sickness.” HG can affect your daily life, hydration, nutrition, and emotional wellbeing, and it’s important to know what…

Early Pregnancy Bleeding: Everything You Need to Know

Early Pregnancy Bleeding: Everything You Need to Know

The HerView Ultrasound Guide The first few weeks after a positive pregnancy test can feel like an emotional whirlwind excitement, hope, and often a little uncertainty all at once. Your body begins to change quickly, and even small symptoms can feel significant. At HerView Ultrasound here in Mullingar, we focus…

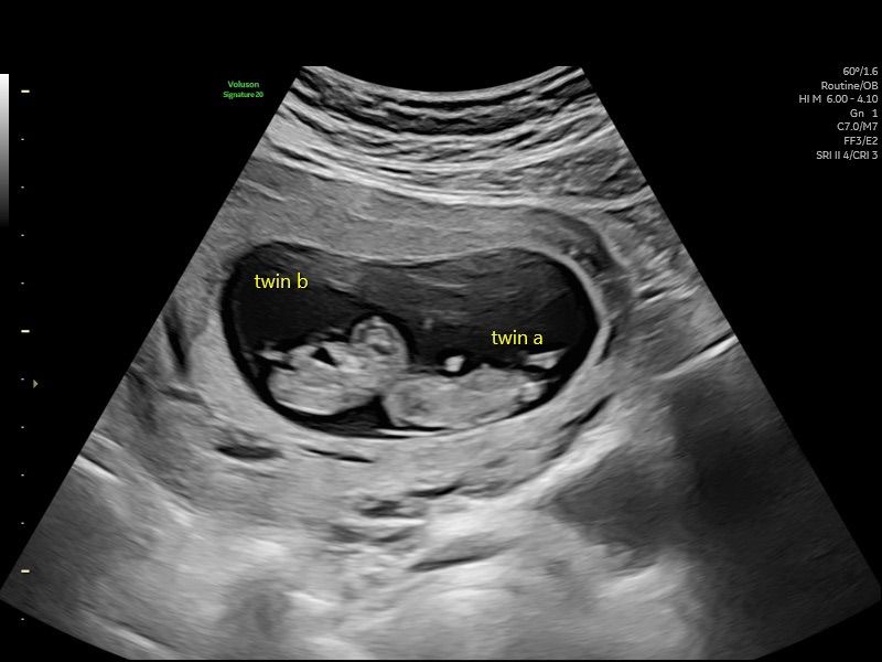
What to Expect at Your 6 Week Pregnancy Scan with HerView Ultrasound

What to Expect at Your 6 Week Pregnancy Scan with HerView Ultrasound

Reaching the six-week mark in pregnancy can feel both exciting and surreal. For many women, this is the stage where the pregnancy begins to feel more real symptoms may be appearing, appointments are being considered, and questions naturally arise. At HerView Ultrasound, we regularly support women during this very early…

HerView Premium 3D/4D/HD Growth and Wellbeing Scan (22-34 Weeks)

HerView Premium 3D/4D/HD Growth and Wellbeing Scan (22-34 Weeks)

The HerView Premium 3D/4D/HD Pregnancy Scan offers an unforgettable opportunity to witness your baby’s development in exceptional detail. Ideally carried out between 22 and 34 weeks, this scan allows you to see your baby’s features, movements, and tiny expressions through advanced 3D, 4D, and HD imaging. Our clinical specialist sonographers…

Early Gender & Wellbeing scan (16 Weeks Onwards)

Early Gender & Wellbeing scan (16 Weeks Onwards)

The Early Gender and Wellbeing Scan at HerView offers an exciting and reassuring way to learn your baby’s gender while also gaining insight into their development. From 16 weeks onwards, our clinical specialist sonographers can determine whether you’re expecting a little boy or girl, while also carrying out a full…

The RainbowView Clinic

The RainbowView Clinic

At HerView, we recognise the unique emotions that accompany pregnancy after loss. The Rainbow View is our way of supporting local mothers in Westmeath who have previously experienced a stillbirth or a late miscarriage after 20 weeks.

Early Pregnancy Scan (5-12 Weeks)

Early Pregnancy Scan (5-12 Weeks)

An early pregnancy scan is often one of the most reassuring steps in early pregnancy. At HerView, we understand that these first weeks can be both exciting and emotional, and many women simply want clarity, comfort, and a first connection with their growing baby. Our Early Pregnancy Scan, carried out…

Welcome to the New HerView Ultrasound Website!

Welcome to the New HerView Ultrasound Website!

We are beyond excited to officially launch our brand-new website and welcome you to HerView Ultrasound—your trusted clinic for pregnancy scans, fertility ultrasounds, and cutting-edge imaging technology.

Hyperemesis Gravidarum: A HerView Ultrasound Guide for Expecting Families in Ireland

Hyperemesis Gravidarum: A HerView Ultrasound Guide for Expecting Families in Ireland

Pregnancy is a remarkable journey but for some women, the early weeks can be overshadowed by Hyperemesis Gravidarum (HG), a severe form of nausea and vomiting that goes far beyond typical “morning sickness.” HG can affect your daily life, hydration, nutrition, and emotional wellbeing, and it’s important to know what…

Early Pregnancy Bleeding: Everything You Need to Know

Early Pregnancy Bleeding: Everything You Need to Know

The HerView Ultrasound Guide The first few weeks after a positive pregnancy test can feel like an emotional whirlwind excitement, hope, and often a little uncertainty all at once. Your body begins to change quickly, and even small symptoms can feel significant. At HerView Ultrasound here in Mullingar, we focus…

What to Expect at Your 6 Week Pregnancy Scan with HerView Ultrasound

What to Expect at Your 6 Week Pregnancy Scan with HerView Ultrasound

Reaching the six-week mark in pregnancy can feel both exciting and surreal. For many women, this is the stage where the pregnancy begins to feel more real symptoms may be appearing, appointments are being considered, and questions naturally arise. At HerView Ultrasound, we regularly support women during this very early…

HerView Premium 3D/4D/HD Growth and Wellbeing Scan (22-34 Weeks)

HerView Premium 3D/4D/HD Growth and Wellbeing Scan (22-34 Weeks)

The HerView Premium 3D/4D/HD Pregnancy Scan offers an unforgettable opportunity to witness your baby’s development in exceptional detail. Ideally carried out between 22 and 34 weeks, this scan allows you to see your baby’s features, movements, and tiny expressions through advanced 3D, 4D, and HD imaging. Our clinical specialist sonographers…

Early Gender & Wellbeing scan (16 Weeks Onwards)

Early Gender & Wellbeing scan (16 Weeks Onwards)

The Early Gender and Wellbeing Scan at HerView offers an exciting and reassuring way to learn your baby’s gender while also gaining insight into their development. From 16 weeks onwards, our clinical specialist sonographers can determine whether you’re expecting a little boy or girl, while also carrying out a full…

The RainbowView Clinic

The RainbowView Clinic

At HerView, we recognise the unique emotions that accompany pregnancy after loss. The Rainbow View is our way of supporting local mothers in Westmeath who have previously experienced a stillbirth or a late miscarriage after 20 weeks.

Early Pregnancy Scan (5-12 Weeks)

Early Pregnancy Scan (5-12 Weeks)

An early pregnancy scan is often one of the most reassuring steps in early pregnancy. At HerView, we understand that these first weeks can be both exciting and emotional, and many women simply want clarity, comfort, and a first connection with their growing baby. Our Early Pregnancy Scan, carried out…

Welcome to the New HerView Ultrasound Website!

Welcome to the New HerView Ultrasound Website!

We are beyond excited to officially launch our brand-new website and welcome you to HerView Ultrasound—your trusted clinic for pregnancy scans, fertility ultrasounds, and cutting-edge imaging technology.